Smile Gallery
Dental Fillings (Case Study #1)
Dental Fillings (Case Study #2)
Dental Fillings (Case Study #3)
Dental Fillings (Case Study #4)
Dental Fillings (Case Study #5)
Dental Fillings (Case Study #6)
Dental Fillings (Case Study #7)
Orthodontics (Case Study #1)
Orthodontics (Case Study #2)
Orthodontics (Case Study #3)
Orthodontics (Case Study #3)
Denture (Case Study #1)
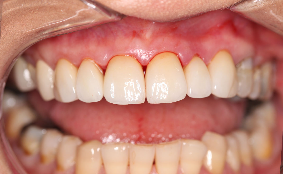
Veneers (Case Study #1)
We Offer a Wide Range of Services
At Modern Dental Care we offer a wide range of services from preventative treatments through to full mouth makeovers. We also offer specialised services such as orthodontics, implants, and wisdom teeth extractions.

























